
Distorsion (Umknicken) im Handball
Das Umknicken des Sprunggelenks – in der Medizin als OSG-Distorsion bezeichnet – gehört zu den häufigsten Verletzungen im Handball. Durch schnelle Bewegungen, abruptes Abstoppen oder Landungen nach Sprüngen ist das Risiko hoch, dass das Sprunggelenk überlastet wird und Bänder verletzt werden.
Kontakt
Wie kommt es zum Umknicken?
Eine Distorsion entsteht meist durch:
- falsches Aufkommen nach einem Sprung,
- plötzliche Richtungswechsel,
- Körperkontakt mit dem Gegenspieler,
- oder das Landen auf dem Fuß eines Mitspielers.
Das Sprunggelenk knickt nach innen oder außen ab. Dabei werden die Bänder stark überdehnt oder reißen teilweise.
Welche Anzeichen treten auf?
Typische Beschwerden nach einem Umknicktrauma sind:
- akuter, stechender Schmerz im Bereich des Sprunggelenks,
- Schwellung und Bluterguss (Hämatom) wenige Minuten bis Stunden nach der Verletzung,
- Druckschmerz und eingeschränkte Belastbarkeit,
- Instabilitätsgefühl beim Gehen.
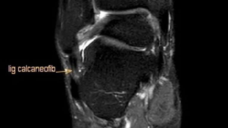
Wie wird die Verletzung festgestellt?
Die Diagnose beginnt mit einer körperlichen Untersuchung. Dabei prüft der Arzt Schwellung, Druckschmerz und Bandstabilität. Um Brüche auszuschließen, wird oft ein Röntgenbild angefertigt. In unklaren Fällen oder bei Verdacht auf Bänderriss kann zusätzlich eine Ultraschall- oder MRT-Untersuchung erfolgen.
Welche Behandlung ist sinnvoll?
Die Behandlung richtet sich nach dem Schweregrad der Verletzung:
- Leichte Distorsion (Bänder nur überdehnt): Schonung, Kühlung, Kompression, Hochlagerung (sog. PECH-Regel).
- Mittelschwere Distorsion (Teilriss der Bänder): Stabilisierung durch Bandage oder Schiene, Physiotherapie zum Muskelaufbau.
- Schwere Distorsion (kompletter Bänderriss oder Instabilität): in seltenen Fällen operative Stabilisierung notwendig, meist aber konservative Therapie mit Orthese und intensiver Nachbehandlung.
Nachsorge und Rehabilitation
Die Nachsorge ist entscheidend, um erneutes Umknicken zu verhindern:
- Akutphase: Entlastung, Kühlung, Kompression, Schmerzreduktion.
- Aufbauphase: gezielte Physiotherapie, Kräftigung der Sprunggelenks- und Beinmuskulatur, Koordinationstraining.
- Return-to-Sport-Phase: sportartspezifisches Training, Sprung- und Landeschulung, oft mit unterstützender Bandage oder Tape.
In der Regel sind Sportler nach zwei bis acht Wochen wieder einsatzfähig – abhängig vom Schweregrad der Distorsion kann es aber auch länger dauern. Eine konsequente Rehabilitation ist wichtig, da Wiederholungsverletzungen das Risiko einer chronischen Instabilität erhöhen.